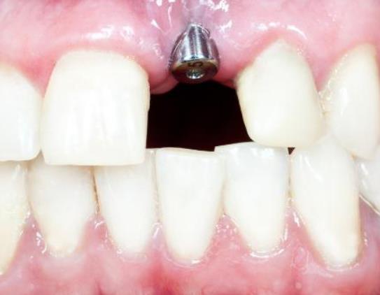
種植牙,采用人工種植體植入頜骨獲取義齒固定位置支持的修復體,包括手術植入頜骨中的種植體和上面的義齒兩部分。種植牙在國內廣受歡迎,雖然其成本比活動義齒要高很多,但更多的人會選擇種牙,因為種植牙確實有很多優點。下面,就快和360常識網一起了解相關知識吧!

1
種植牙齒醫保能報銷嗎?
種植牙屬于醫療美容項目,不屬于醫保報銷范圍。鑲牙費用較高的主要是材料費用,如烤瓷牙、種植牙等,這些費用通常經物價部門批準,屬于特需服務費。在牙科的醫療保險只能報銷牙體治療、手術等治療費用。
目前國家規定的醫保報銷范圍,主要包括補牙(包括基本材料、治療費)、拔牙以及治療牙齦病、牙齦炎等牙病發生的費用。

2
種植牙齒能用多少年
種植牙是新興的牙齒修復技術,5-10年的存活率可以達到90%以上,因此種植上牙齒以后做好口腔衛生維護,定期按照醫生要求復查種植的牙齒,把存在的潛在問題早期解除掉,此種植牙齒是可以終身使用的,但并沒有一個專門的使用期限和壽命。

3
種植牙齒為什么只腫不痛
1、可能是種植術后并發癥,牙齦炎或牙齦增生。牙齦炎是由于種植義齒修復后,由于口腔衛生不佳或清潔方法不當,對暴露在口腔內的種植體基樁清潔差,被粘附到基樁上的菌斑刺激牙齦所致。
2、牙齦增生是由于基樁穿過牙齦過少,或基樁與橋架連接不良,造成局部衛生狀況差,長期的慢性炎癥刺激可導致牙齦增生。如果是牙齦炎,那就局部上藥讓炎癥消失。
3、如果是牙齦增生就需要切除。種植牙一定要注意口腔衛生。個人自我護理相當重要,對基樁表面仔細保護。
種植牙齒后牙齦紅腫怎么辦?
做完種植牙術后脹痛現象很普遍,這是因為局部組織受損傷了,機體就產生應急反應來幫助恢復,首先提前進行炎癥控制,不要吃涼的和辛辣刺激的食物,可以服用點藥物,效果不錯的。
總結:種植牙齒本身就跟牙齦有關,種植牙齒等麻藥消退后是會有痛感的,所以牙齦有些腫痛也是正常現象了!