種植牙之后千萬不要吃有骨刺類的食物因為殘渣可能殘留在傷口會導致傷口吸收食物殘渣影響愈合,第一天不要漱口,否則會破壞血塊。第3天開始可用淡鹽水漱口,可有效的殺菌減輕疼痛,保持口腔衛生。下面,就快和360常識網一起了解相關知識吧!

1
矯正牙齒的危害是什么?
牙齒變松動:此種情況也是比較典型的牙齒矯正的危害,在做矯正治療時,牙齒松動度增加,這是正常反應。牙齒要移動,需要牙槽骨和牙周膜的重建,因為牙齒是靠牙周膜固定在牙槽骨里,這樣牙齒就會變松動。
對牙根的影響:這是比較常見的牙齒矯正的危害,這是因為在進行牙齒矯正時,牙根表面也發生著吸收、增生這種重建活動。
對牙槽骨高度的影響:它是一種潛在的牙齒矯正的危害。做過正畸治療的人,牙槽骨高度都會有少量的降低,這是由于戴矯治器使口腔衛生不易保持,增加患牙齦炎的機會,對牙槽骨有一定的影響。

2
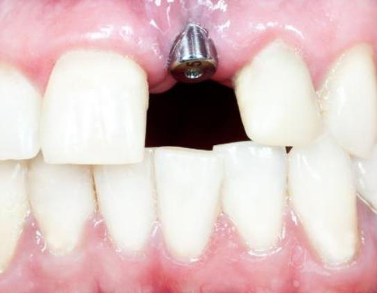
種植牙齒的優點
您提到的牙種植體的優點是,在牙種植體治療過程中,缺失牙齒兩側的天然牙齒不會被損壞。其結構與天然牙齒相似,修復功能好,對兩側天然牙齒無損傷。牙種植體的缺點是牙種植體治療的成本相對昂貴并且治療周期相對較長。從牙種植體植入頜骨到牙冠嵌體通常需要三到四個月的時間。

3
種植牙齒分為幾個階段
1、進行術前檢查和術前處理,如拔掉特別松的牙齒、殘根等;治療蟲牙、牙周病等。該階段所需時間因每個人情況不同而有長短。
2、種植手術:先照X光片,血常規檢查,設計治療方案,需要3天左右時間。手術將種植體植入骨內后7-12天拆線,再根據情況作臨時牙冠或臨時義齒。
3、3個月至6個月后,更換或安裝永久牙冠或義齒。永久牙冠為烤瓷材料制作,其質地優良,色澤逼真,舒適美觀,恢復功能滿意,經久耐用。